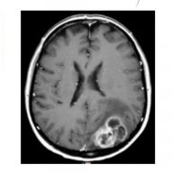
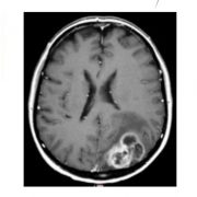
Targeting glioblastoma cells in tumour microenvironment combining irradiation with selective metalloprotease inhibitors
Links to other variants of project web pages:
SICRIS / ARRS
NIB / Projects